

L’ortodonzia è la specialità odontoiatrica che si occupa della correzione della posizione dei denti e dei rapporti scheletrici tra mascella e mandibola, al fine di migliorare estetica e funzione masticatoria.
Nei bambini e adolescenti, le alterazioni delle strutture scheletriche possono essere intercettate e corrette durante la crescita, grazie all’utilizzo di apparecchi mobili o fissi, personalizzati in base all’età e allo sviluppo osseo.
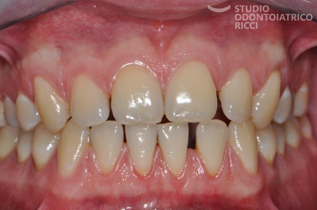
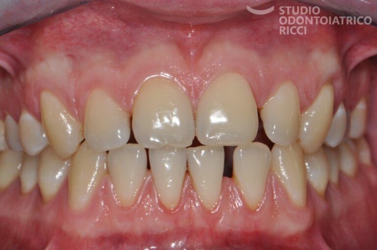
Negli adulti, è sempre possibile intervenire per allineare i denti storti mediante apparecchi ortodontici fissi o tramite tecnologie invisibili, anche quando la crescita ossea è ormai completata.
Per i pazienti adulti (e anche adolescenti) che desiderano una soluzione discreta, è disponibile il trattamento con allineatori trasparenti rimovibili, praticamente invisibili una volta indossati.
Attraverso una tecnologia digitale 3D avanzata:
Si acquisiscono impronte digitali della bocca.
Viene realizzato un modello virtuale che simula in anticipo tutti gli spostamenti dentali.
Il paziente può visualizzare in anteprima il risultato finale prima di iniziare il trattamento.
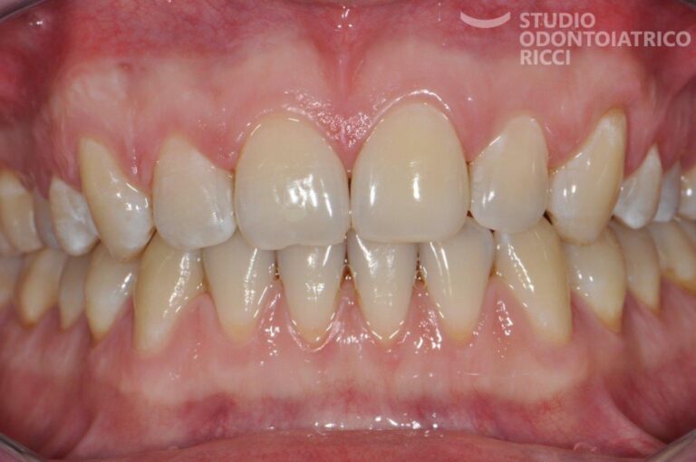
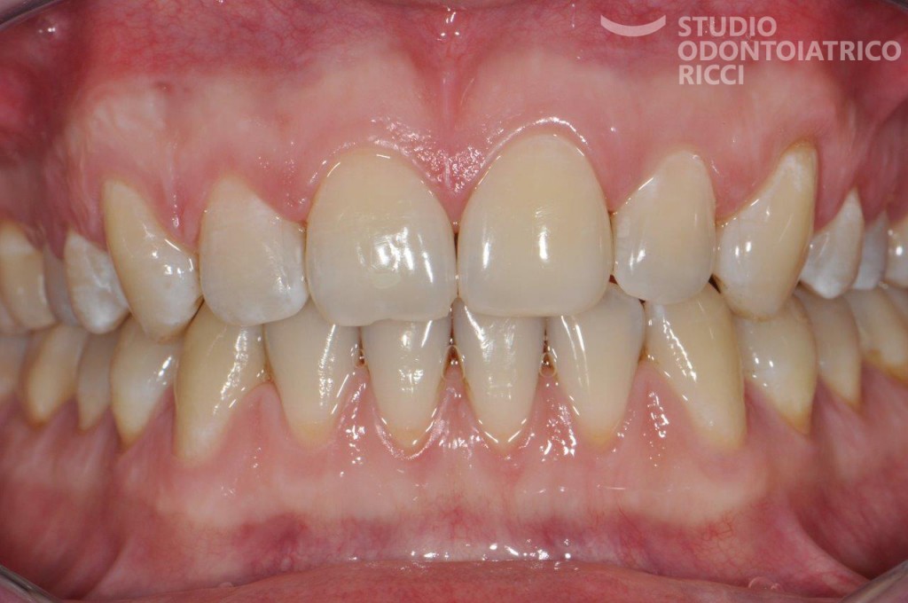
Il trattamento si basa su una sequenza di mascherine trasparenti personalizzate, da sostituire ogni 1–2 settimane, che guidano progressivamente i denti verso l’allineamento desiderato.
Nel nostro studio utilizziamo gli allineatori trasparenti ArcAngel, uno dei sistemi più avanzati al mondo: unisce tecnologia digitale internazionale a supporto clinico italiano altamente qualificato.
Sì. Grazie alla tecnologia 3D, viene creato un filmato digitale che mostra lo spostamento progressivo dei denti, dalla situazione iniziale a quella finale. Questo permette al paziente di visualizzare il risultato atteso prima dell’inizio del trattamento.
Prenota il tuo appuntamento
Accettiamo richieste di appuntamento al numero telefonico dello Studio.
Una segreteria telefonica è in funzione nei momenti di chiusura dello Studio e, alla riapertura, la Segretaria ricontatterà immediatamente i Pazienti che avranno lasciato il loro numero telefonico.
Il titolare dello studio dichiara che il sito corrisponde alle linee-guida inerenti l’applicazione degli art. 55-56-57 del codice di deontologia medica (pubblicità dell’informazione sanitaria). Autocertificazione inviata all’Ordine dei Medici Chirurghi e Odontoiatri di Pistoia in data 19/01/2010.
Ordine dei Medici Chirurghi e degli Odontoiatri della Provincia di Pistoia, Albo Odontoiatri n°03
© 2025 Studio Odontoiatrico Ricci. Tutti i diritti riservati. – P. IVA 00432900470 – Cookie Policy – Privacy Policy – Webdesign by LANDWEB