

L’implantologia dentale è una tecnica avanzata che consente di sostituire uno o più denti mancanti in modo stabile e sicuro, senza coinvolgere i denti sani adiacenti.
Gli impianti sono radici artificiali in titanio biocompatibile, inserite nell’osso mascellare tramite un intervento chirurgico mini-invasivo, eseguito in anestesia locale.
Il titanio è un materiale utilizzato da oltre 50 anni anche in ambito ortopedico, noto per la sua eccellente integrazione con l’osso (osteointegrazione) e per l’elevata tollerabilità da parte dell’organismo.
Dopo una fase di studio e pianificazione accurata, è possibile eseguire:
Impianto singolo, per sostituire un dente mancante
Ponte su impianti, in caso di edentulie parziali
Riabilitazioni estese, anche a carico immediato, quando le condizioni lo permettono
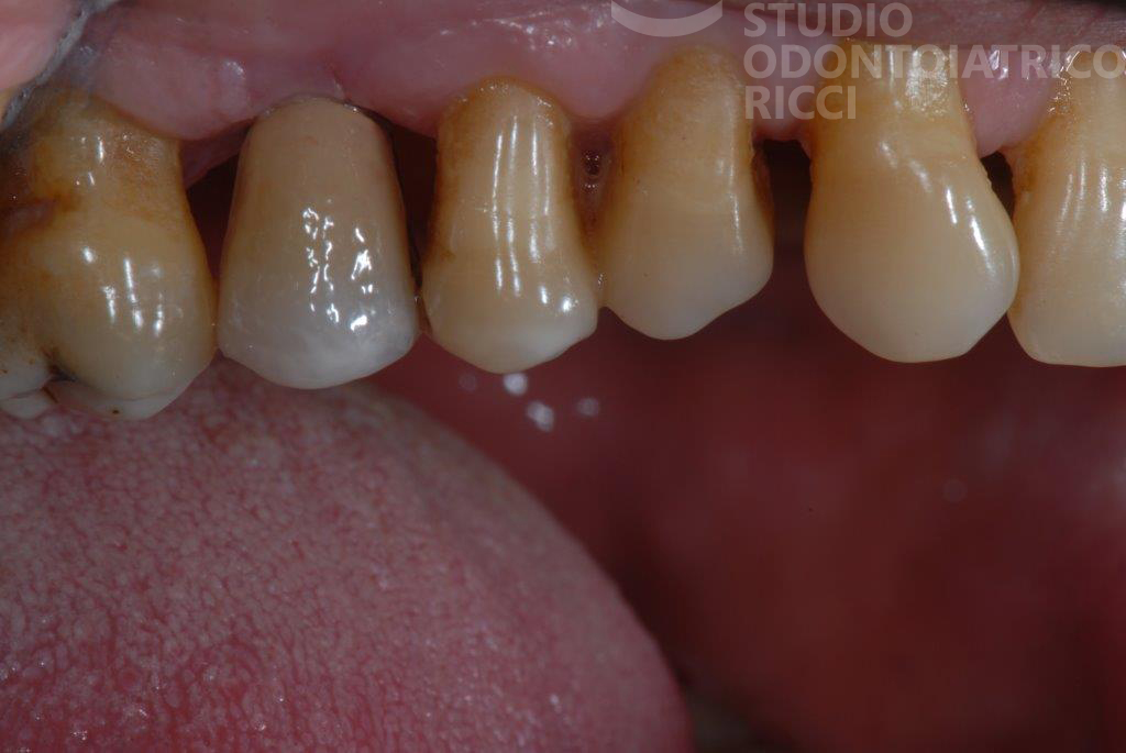
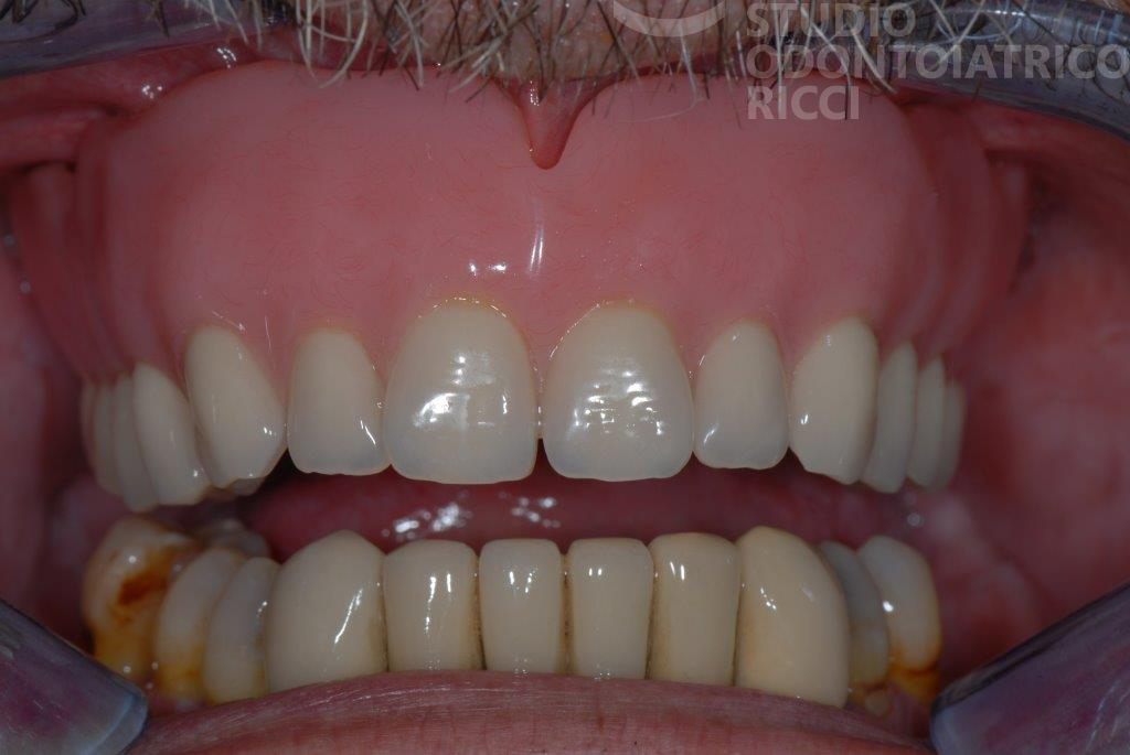
È la soluzione ideale per sostituire un singolo dente mancante. L’impianto viene inserito nello spazio lasciato dal dente perso, senza limare i denti vicini. Garantisce un risultato funzionale, estetico e biologicamente conservativo.
Quando mancano più denti adiacenti, è possibile realizzare un ponte fisso ancorato a due o più impianti, evitando protesi mobili e garantendo stabilità e comfort.
In determinati casi selezionati, è possibile applicare la protesi provvisoria lo stesso giorno dell’intervento implantare. Questa tecnica, chiamata carico immediato, viene spesso impiegata:
In riabilitazioni estese (es. arcata completa)
In aree con elevata valenza estetica (zona frontale)
In pazienti con buone condizioni ossee e generali
Il vantaggio principale è la rapidità del risultato estetico e funzionale, mantenendo comfort e sicurezza.
No. L’inserimento dell’impianto avviene in anestesia locale e viene percepito come una procedura minimamente invasiva. Il decorso post-operatorio è generalmente ben tollerato, gestibile con comuni antidolorifici.
Con una buona igiene orale e controlli periodici, un impianto può durare molti anni, anche oltre 20 anni. La durata dipende dalla qualità dell’osso, dalle abitudini del paziente e dalla manutenzione.
La maggior parte dei pazienti può sottoporsi a un trattamento implantare. È però fondamentale eseguire uno studio preliminare, con esami radiografici (es. TAC) per valutare:
quantità e qualità dell’osso
stato di salute generale
abitudini come fumo o bruxismo
ATTENZIONE: LE SEZIONI SEGUENTI CONTENGONO IMMAGINI DI INTERVENTI CHIRURGICI
Prenota il tuo appuntamento
Accettiamo richieste di appuntamento al numero telefonico dello Studio.
Una segreteria telefonica è in funzione nei momenti di chiusura dello Studio e, alla riapertura, la Segretaria ricontatterà immediatamente i Pazienti che avranno lasciato il loro numero telefonico.
Il titolare dello studio dichiara che il sito corrisponde alle linee-guida inerenti l’applicazione degli art. 55-56-57 del codice di deontologia medica (pubblicità dell’informazione sanitaria). Autocertificazione inviata all’Ordine dei Medici Chirurghi e Odontoiatri di Pistoia in data 19/01/2010.
Ordine dei Medici Chirurghi e degli Odontoiatri della Provincia di Pistoia, Albo Odontoiatri n°03
© 2025 Studio Odontoiatrico Ricci. Tutti i diritti riservati. – P. IVA 00432900470 – Cookie Policy – Privacy Policy – Webdesign by LANDWEB